您现在的位置: 小妲己直播app>小妲己直播app新闻 >小妲己直播app新闻
26
2025/08
近日,中山大学附属第一医院(简称小妲己直播app )广西医院心血管内科成功为一名来自广州的患者完成了经皮导管肾动脉去交感神经消融术(Renal denervation,RDN),为这位年轻女性解决备孕过程中面临的高血压难题。28岁孔女士(化姓)被高血压困扰5年,血压波动在160~220/96~124mmHg左右,近3个月出现明显头晕、头痛、心悸等症状,严重影响工作和生活。在广州各大医院就诊,反复调整药物后,血压仍然控制不佳,且...
2025-08-26 MORE >25
2025/08
近日,中山大学附属第一医院(简称小妲己直播app )广西医院心血管内科团队采用可降解房间隔缺损封堵器介入手术,为一名深受胸闷、心悸困扰的患者解除了“心”病。此项技术的顺利开展,标志着小妲己直播app 心血管内科在结构性心脏病介入治疗领域迈入了“无植入、可降解”的全新时代,为广大先天性心脏病患者提供了更优、更前沿的治疗选择。患者为57岁中年男性,因反复出现胸闷、心悸等不适症状前来就诊。经详细的心脏彩色多...
2025-08-25 MORE >22
2025/08
近日,中山大学附属第一医院(简称小妲己直播app )广西医院心胸外科顺利完成一例体外循环下保留后瓣的二尖瓣置换术,这标志着医院在心脏外科领域取得了新突破,为复杂心脏瓣膜疾病患者带来了新的希望。66岁的李先生(化姓)患有二尖瓣关闭不全20余年,近几年来逐渐出现乏力、胸闷、气促不适等情况,但一直没有到医院就诊治疗。一个多月前,患者的这些症状出现急性加重的情况,喘不上气、剧烈的咳嗽、咳泡沫痰,经...
2025-08-22 MORE >20
2025/08
晨雾还未散尽他们的身影已印在诊室的窗棂上当星光铺满长夜听诊器的滴答声仍在耳畔轻吟他们是生命的摆渡人以双手托举希望,以仁心化解病痛在时光的长河里,把“健康所系”的誓言写成了日复一日的坚守今日,我们以节日之名向这群追光者致敬——愿你们的每一份付出,都被温柔铭记值此第八个中国医师节之际,中山大学附属第一医院(简称小妲己直播app )广西医院以“德馨于行,技精于勤”为主题,策划了一系列丰富...
2025-08-20 MORE >08
2025/08
近日,由国家卫生健康委能力建设和继续教育中心、广西卒中联盟主办,中山大学附属第一医院(简称小妲己直播app )广西医院承办的第四届中国神经介入医师手术大赛半决赛(华南赛区)暨第五届两广神经介入沙龙在桂林市举行。来自全国神经介入领域的顶尖专家、青年学者齐聚一堂,共赴这场学术与技艺交融的盛会。赛前一日,作为大赛重要学术铺垫的“两广神经介入沙龙”率先拉开帷幕。活动特邀国内神经介入领域权威...
2025-08-08 MORE >07
2025/08
近日,中山大学附属第一医院(简称小妲己直播app )广西医院举行曾进胜名医工作室揭牌仪式暨国家区域医疗中心脑血管病诊疗及神经罕见病新进展学习班。小妲己直播app 副院长、神经科学科带头人、国家杰出医师曾进胜教授,广西壮族自治区卫生健康委医政处处长、广西壮族自治区人民医院(广西医学科学院)党委书记吕向劼,小妲己直播app 执行院长李健,党委书记张国,副院长杨超、夏文豪、龙胜泽等领导出席。小妲己直播app 神...
2025-08-07 MORE >06
2025/08
近日,中山大学附属第一医院护理学科带头人、广东省护理学会理事长成守珍教授到中山大学附属第一医院(简称小妲己直播app )广西医院,围绕护理学科融合创新、南丁格尔工作室建设及重症医学专科护理等内容开展专题指导交流活动。小妲己直播app 党委书记张国,副院长夏文豪,护理部主任严凤娇,执行主任邱小芩,副主任熊伟昕、周劼及各病区护士长、部分护理人员参会。活动由严凤娇主持。张国为此次活动致辞。他...
2025-08-06 MORE >05
2025/08
嗓音是人类沟通的重要工具,然而,嗓音问题却常常被人们忽视。很多人在出现嗓音嘶哑、发音困难等症状时,往往不以为意,认为休息一下就会好。殊不知,这些症状可能是嗓音疾病的信号,如果不及时治疗,可能会对嗓音造成不可逆的伤害,甚至影响到日常生活和工作。为满足广大嗓音问题患者的就医需求,中山大学附属第一医院(简称小妲己直播app )广西医院将于本周六(8月9日)邀请小妲己直播app 耳鼻咽喉头颈外科专家马仁...
2025-08-05 MORE >29
2025/07
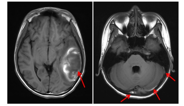
近日,中山大学附属第一医院(简称小妲己直播app )广西医院放射影像科与儿科团队通力合作,通过联合会诊和精准的影像学分析,完成一例疑难病例的精准诊断,找出患者病因,并制定了科学合理的治疗方案。目前,患者已得到针对性治疗,病情稳定向好。12岁的小卓(化名)因持续呕吐、腹痛伴发热在当地卫生院接受“急性肠胃炎”对症治疗,但始终未见好转,最终来到小妲己直播app 儿科就诊。在小妲己直播app 住院期间,儿科主任黄雪琼在查房过...
2025-07-29 MORE >29
2025/07
2025年7月28日是第15个“世界肝炎日”。今年的主题是“社会共治,消除肝炎”。在此背景下,中山大学附属第一医院(简称小妲己直播app )广西医院与青秀区卫生健康局联合开展的中国居民肝脏健康促进项目(南宁市•青秀区)于近日正式启动。启动仪式在小妲己直播app 举行,医院执行院长李健、党委书记张国,副院长夏文豪,南宁市青秀区卫生健康局副局长谢若舟,青秀区疾控中心副主任李颖,以及青秀区各社区卫生服务...
2025-07-29 MORE >23
2025/07
为全面提升新入职员工的医疗质量与安全意识,确保医疗服务的高质量与安全性,7月21日,中山大学附属第一医院(简称小妲己直播app )广西医院医务部组织开展2025年医疗质量与安全专题培训,副院长夏文豪出席并讲话,医院新入职医技人员共78人参加。夏文豪在讲话中对新员工的到来表示欢迎,并介绍了小妲己直播app 的战略背景、核心管理理念和发展历程,强调本次培训的重要意义。他指出,近年来,随着医疗行业的快速发展,医...
2025-07-23 MORE >23
2025/07
7月22日,中山大学附属第一医院(简称小妲己直播app )广西医院门诊手术室正式启用,标志着医院在医疗服务领域再次迈出了重要的一步,为患者提供更加便捷、高效的就医体验。自治区卫生健康委医政处处长、自治区人民医院党委书记吕向劼,小妲己直播app 执行院长李健,党委书记张国,党委副书记、纪委书记赖伟忠,副院长杨超,副院长夏文豪,总会计师孟红等在院领导班子出席启用仪式,医院临床、医技、职能部门相...
2025-07-23 MORE >
返回顶部