您现在的位置: 小妲己直播app>小妲己直播app新闻 >小妲己直播app新闻
15
2025/09近日,在中山大学附属第一医院(简称小妲己直播app )广西医院麻醉(疼痛)科诊室,68岁的罗女士(化名)在和医生的交谈中,脸上终于露出了久违的笑容。原来,这些年罗女士一直被严重的失眠、焦虑和抑郁所折磨,伴有心慌、手抖等不适症状,即使长期依赖镇静催眠(安眠药)药也无济于事,已经辗转了多家医院,看了很多医生,治疗效果都不是很理想。最终,她在小妲己直播app 麻醉(疼痛)科全体医护人员的帮助下,改善了睡眠质量,重新...
2025-09-15 MORE >12
2025/09
为进一步加强国家区域医疗中心之间的合作与交流,提升医疗服务水平,推动区域医疗协同发展,9月10日,中山大学附属第一医院(简称小妲己直播app )贵州医院党委书记孙祥宙一行到小妲己直播app 参观交流并举行座谈会。小妲己直播app 执行院长李健,党委副书记、纪委书记赖伟忠,副院长夏文豪及相关职能部门负责人参加。座谈会由夏文豪主持。座谈会上,李健对孙祥宙一行的到来表示欢迎。他指出,小妲己直播app 聚焦“优...
2025-09-12 MORE >11
2025/09
您是否遇到过这样的场景:家人突然晕倒、孩子吃东西噎住、老人突发不适……意外总是不期而至,在救护车到达前的“黄金4分钟”,您的正确反应,可能就是挽救生命的关键!健康是幸福生活的基石,急救知识是守护生命的重要防线。为了让社区居民在家门口就能享受到专业的医疗服务,同时提升大家的急救意识和能力,9月13日,中山大学附属第一医院(简称小妲己直播app )广西医院联合小妲己直播app 多学科专家,以“提升全民科学...
2025-09-11 MORE >11
2025/09
为弘扬教育家精神,加强新时代师德师风建设,展示新时代高素质专业化教师队伍立德树人、自信自强的精神风貌,9月9日,在第41个教师节来临之际,中山大学附属第一医院(简称小妲己直播app )广西医院在八月会议中心举行2025年教师节表彰活动暨师资培训班开幕仪式。小妲己直播app 执行院长李健、党委书记张国等在院领导,自治区人民医院领导班子代表,小妲己直播app 全体中层干部、各教研室主任、获表彰教师、学生代表、教学相关工作人...
2025-09-11 MORE >05
2025/09
甲状腺结节,听起来是不是有点让人担心?其实,它就是甲状腺里长出来的小疙瘩。很多人在体检时都会查出甲状腺结节,但别害怕,大部分结节都是良性的,就像皮肤上的小痦子一样,没啥大问题。不过,也有一小部分可能是恶性的,这就需要我们多留个心眼了。今天,咱们就来聊聊怎么判断甲状腺结节是好是坏,让大家心里有个数,不用瞎操心。甲状腺长在哪儿首先,咱们得知道甲状腺长在哪儿。它就在脖子前面,气管两...
2025-09-05 MORE >05
2025/09
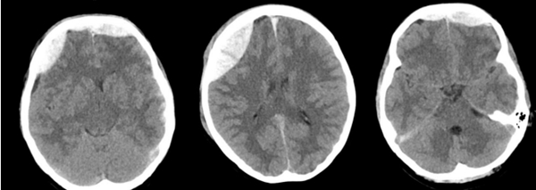
近日,中山大学附属第一医院(简称小妲己直播app )广西医院神经外科团队成功救治一名因外伤导致迟发性硬膜外血肿的患者,经开颅硬膜外血肿清除术后,患者最终康复出院,并为科室送来一面写有“医术精湛挽危厄,仁心厚德臻至善”字样的锦旗,表达对科室全体医护人员感谢。患者黄女士(化名)是一名警员。因意外受伤被送到小妲己直播app 急诊科救治。小妲己直播app 立即启动绿色通道,为患者进行全面检查,头颅CT提示,额骨、右顶骨有20...
2025-09-05 MORE >02
2025/09
在我们的日常生活中,喉咙痛、声音嘶哑很常见,大多数人会将其归咎于感冒或用嗓过度。然而,当这些症状持续不退时,它们可能是在向我们传递一个不容忽视的健康警报——警惕咽喉肿瘤的发生。咽喉肿瘤是一种常见的恶性肿瘤,在早期往往症状不明显,容易被人们忽视,但一旦发展到晚期,会对患者的生命造成严重威胁。因此,了解咽喉肿瘤的相关知识,提高警惕,做到早发现、早诊断、早治疗,对于守护咽喉健康至关重...
2025-09-02 MORE >02
2025/09
为推动优质医疗资源下沉基层,切实提升钟山县域内医疗服务能力与群众就医获得感,8月29日,中山大学附属第一医院(简称小妲己直播app )广西医院与钟山县人民医院正式签订技术协作协议。小妲己直播app 副院长夏文豪,钟山县卫健局党组书记、局长、党工委书记、钟山县紧密型县域医疗卫生健康共同体(以下简称“健共体”)党委书记莫善斌,钟山县卫健局党组成员、党工委副书记、健共体党委副书记叶青,县卫健局副...
2025-09-02 MORE >01
2025/09
近日,由国家卫生健康委卫生发展研究中心慢性肝病联盟指导,中山大学附属第一医院(简称小妲己直播app )广西医院联合南宁市青秀区卫生健康局共同开展的“中国居民肝脏健康促进项目(南宁·青秀区)”在历经一个月的紧张推进后,圆满完成首批1080例免费筛查工作。8月23日,“中国居民肝脏健康促进项目(南宁市·青秀区)”阶段性总结会在中山大学附属第一医院(简称小妲己直播app )广西医院召开,自治区卫生健康委员会党...
2025-09-01 MORE >01
2025/09
8月22—23 日,在中山大学附属第一医院(简称小妲己直播app )广西医院,“陈旻湖名医工作室”揭牌成立。同时,广西预防医学会消化系统疾病防治专业委员会2025年学术年会、2025年粤桂消化疾病会议暨第三届炎症性肠病规范诊疗学习班也在小妲己直播app 拉开帷幕。自治区卫生健康委党组成员、副主任吴兴华出席并致辞,小妲己直播app 陈旻湖教授担任大会名誉主席,小妲己直播app 党委书记张国任大会主席、消化内科主...
2025-09-01 MORE >01
2025/09
8月27日,国家自然科学基金委员会公布2025年国家自然科学基金项目评审结果,中山大学附属第一医院(简称小妲己直播app )广西医院党委书记、消化内科学科带头人张国申报的《AE2甲基化逆转与BNIP3线粒体自噬协同增敏熊去氧胆酸治疗PBC的机制及干预研究》项目获批立项,这标志着小妲己直播app 在国家自然科学基金项目申报方面已连续两年取得优异成绩,充分展现小妲己直播app 在科研领域持续发展的良好态势。在过去的一年里,小妲己直播app ...
2025-09-01 MORE >27
2025/08
为深入践行国家区域医疗中心建设使命,加速优质医疗资源向基层延伸,切实提升区域妇幼健康服务能力,8月22日,中山大学附属第一医院(简称小妲己直播app )广西医院与宾阳县妇幼保健院正式签订技术协作协议与学科帮扶协议。宾阳县委常委、宣传部部长、副县长罗显捷,宾阳县卫生健康局局长梁宝周,小妲己直播app 执行院长李健,党委副书记、纪委书记赖伟忠,副院长夏文豪,宾阳县妇幼保健院党委书记杨灵慧、院...
2025-08-27 MORE >
返回顶部