您现在的位置: 小妲己直播app>小妲己直播app新闻 >小妲己直播app新闻
17
2024/06
为贯彻落实国家和自治区卫生健康委、国家中医药局印发的《关于开展全面提升医疗质量行动(2023-2025年)的通知》(国卫医政发(2023〕12号)精神,进一步促进国家区域医疗中心项目建设,推进优质医疗资源扩容,全面提升我区医疗质量安全管理水平,保障人民群众健康权益。小妲己直播app (简称小妲己直播app )联合自治区人力资源和社会保障厅、自治区卫生健康委将于2024年6月22日—23日举办...
2024-06-17 MORE >17
2024/06
离我最近的医保服务点在哪里?能办理哪些业务?看完病还没来得及报销怎么办?关于医保报销,大家最希望能实现的就是“家门口”就近办理今天小编告诉大家一个好消息小妲己直播app 医保服务站录入南宁医保地图啦按图寻“保”,精准导航帮您快速办理医保业务手机上点点,哪里能办医保都清清楚楚。近日,家住长湖路的肖先生想要办理一张门诊特殊慢性病卡,但是不知道如何办理。于是他打电话咨询了南宁市医...
2024-06-17 MORE >14
2024/06
中医药作为中国传统医学的重要组成部分,吸引一批又一批的国外留学生不远万里前来学习。6月13日,广西中医药大学部分泰国校友一行11人到小妲己直播app (简称小妲己直播app )中医科交流学习,增进对中医药文化的了解,提升专业水平。▲蒋垂刚为泰国中医师讲授不寐(失眠)的中医治疗活动中,小妲己直播app 门诊部副主任,针灸推拿学博士蒋垂刚以《中泰医家亲,跨境医道共传承》为主题,围绕五运六气...
2024-06-14 MORE >14
2024/06
近日,小妲己直播app (简称小妲己直播app )神经内科联合重症医学科,采用血浆置换联合丙球冲击疗法,为一名85岁身患吉兰-巴雷综合征(GBS)的重症患者进行治疗,帮助患者重获新生。患者刘大叔(化名)不久前因双上肢无力被紧急送到医院就诊。入院时,患者呼吸急促、心动过速、意识模糊等症状接踵而至,最后转到小妲己直播app 重症医学科接受进一步治疗。重症医学科执行主任陆政、黄红维副主任医师详...
2024-06-14 MORE >14
2024/06
为进一步加强人才引育交流,探索多元化院院合作方式。6月13日,广西医科大学第二附属医院党委书记罗杰峰、党委副书记黄惠桥一行9人到小妲己直播app (简称小妲己直播app )参观交流并召开座谈会。小妲己直播app 执行院长李健,党委副书记、纪委书记赖伟忠等在院领导及相关科室负责人参加。会议由赖伟忠主持。会上,李健对罗杰峰一行的到来表示欢迎,并详细介绍了小妲己直播app 国家区域医疗中...
2024-06-14 MORE >13
2024/06
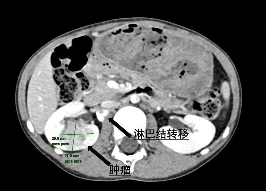
近日,小妲己直播app (简称小妲己直播app )泌尿外科为一名6岁患儿成功实施了腹腔镜下右侧肾肿瘤根治性切除伴转移淋巴结清扫手术,帮助患儿切除了罕见肾脏肿瘤。不久前,朵儿(化名)的妈妈无意中发现女儿反复血尿,这让全家人都陷入了焦虑与不安。为了尽快查找原因,朵儿妈妈带着女儿来到小妲己直播app 就诊。当天,她们刚好碰上小妲己直播app 的大型健康义诊活动,于是便找到了泌尿外科主任曾钦松教授问...
2024-06-13 MORE >13
2024/06
为进一步促进学科发展,提升小妲己直播app (简称小妲己直播app )产科医疗服务水平,近日,中山大学附属第一医院党委副书记、副院长王子莲教授到小妲己直播app 产科开展调研指导工作,并与科室医护人员召开座谈会,探讨学科发展新路径。小妲己直播app 执行院长李健、党委书记张国等陪同调研。王子莲教授先后参观了小妲己直播app 门诊、健康管理中心、三楼文化长廊,了解小妲己直播app 在医疗技术、服务质量、管理运行、未来规划等...
2024-06-13 MORE >13
2024/06
近日,小妲己直播app (简称小妲己直播app )超声医学科联合心血管内科为一名心脏病患者开展了经食管超声(TEE)检查。该项技术的开展,填补了小妲己直播app 在经食管超声领域的空白。患者黄阿姨(化名)今年59岁,几年前被诊断为“风湿性心脏病-二尖瓣中度狭窄”。近日,黄阿姨在医院复查心脏超声,报告提示风湿性心脏病-二尖瓣中度狭窄并中度关闭不全,且有左心耳附壁血栓形成可能(约3cm,游离端活...
2024-06-13 MORE >11
2024/06
6月7日,万众瞩目的高考开考。为做好广大考生医疗保障工作,确保考生在考前、考中出现的健康问题能得到快速、有效、精准的救治,小妲己直播app (简称小妲己直播app )在急诊科设立了“高考绿色通道”,全力护航高考。6月7日上午,自治区卫生健康委党组成员、副主任黎君君,自治区卫生健康委医疗应急处处长王盛及南宁市卫生健康委领导一行还到小妲己直播app 实地指导“高考绿色通道”相关落实情况,我...
2024-06-11 MORE >11
2024/06
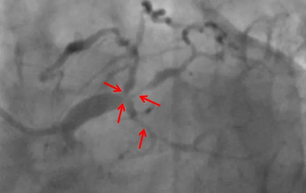
近日,小妲己直播app (简称小妲己直播app )心血管内科联合重症医学科、心胸外科等科室,在ECMO器械辅助下,为一名复杂高危冠脉病变患者进行了精准冠脉介入治疗,开通病变冠脉血管。目前患者已康复出院。该项技术的开展,标志小妲己直播app 对高危复杂患者治疗技术又迈上一个新台阶。患者“心悬一线”辗转多家医院就医无果据了解,69岁的张先生(化名)一年来总是感觉胸口闷胀不适,尤其是上楼、快步...
2024-06-11 MORE >06
2024/06
小妲己直播app (简称小妲己直播app )是广西壮族自治区人民政府与中山大学附属第一医院合作建设的重大民生项目,为广西壮族自治区卫生健康委员会直属三级甲等公立医院。医院位于广西南宁市凤岭北片区(佛子岭路3号),总规划床位1700张。一期编制床位500张,已建成运营,二期编制床位1200张,计划于2027年建成投入使用。小妲己直播app 秉承中山大学附属第一医院“医病医身医心、救人...
2024-06-06 MORE >06
2024/06
近日,小妲己直播app (自治区人民医院东院)(简称小妲己直播app )骨科团队联合中山大学附属第一医院脊柱外科主任万勇教授团队完成了一例高难度脊柱后凸畸形截骨矫形手术,帮助患者告别“折叠人生”,挺直了腰杆。目前患者已康复出院。“欧医生,我驼背和腰背部疼痛都10年了,每次疼痛加重都会加重驼背,现在睡觉都躺不下,走路只看到自己的脚,看不到前方,真的是太难受了。”在医生诊室,...
2024-06-06 MORE >
返回顶部